3617 N Belt Line Rd., Irving, TX 75062
Call: (972) 252-5500

Cosmetic Dentistry in Irving, TX

We’ll Give You A Brand New Smile

Cosmetic Dentist Dr. Meenal Thirtha and the dental team here in Irving, Tx offers personal consultations to all our patients who are interested in making cosmetic changes to their smile, or improving their oral health. Your smile is your “first impression” – we want to help you look and feel your very best!

Cosmetic dentistry can not only make you look and feel great, but it can also help improve your dental health by closing gaps or straightening alignment problems that can make it difficult to brush and floss and keep your teeth free of plaque and decay. Covering cracks can also prevent decay from entering a tooth and keep the tooth from breaking apart completely.

Cosmetic Dentistry in Irving, Yexas

Our Cosmetic Dental Services include:

Teeth Whitening

Depending on the condition of your teeth, we have both take-home and in-office teeth whitening procedures available that could make your teeth up to 10 shades lighter.

Porcelain Veneers

Porcelain dental veneers are a popular choice among our patients because they require a minimal amount of tooth reduction. Veneers are thin porcelain shells that are adhered to front teeth to instantly conceal chipped, stained or slightly crooked teeth. They are made to be the exact same thickness and size as your natural teeth, and their shape, size and color can all be changed to match the rest of the teeth in your mouth.

Porcelain Crowns

A porcelain dental crown is designed to cover the damaged part of the tooth and will restore it back to it’s original size, shape and overall structure. Porcelain crowns offer a natural-looking means of restoring teeth that require more structural coverage than a veneer offers.

White Tooth Fillings

White tooth colored fillings are one of the most common cosmetic dentistry and restorative dentistry procedures performed at our dental practice here in Irving. The tooth will have a more natural look and white tooth fillings are considered healthier than the traditional amalgam metal fillings.

Some Of What We Do

Before Dental Crown and Bonding
Before
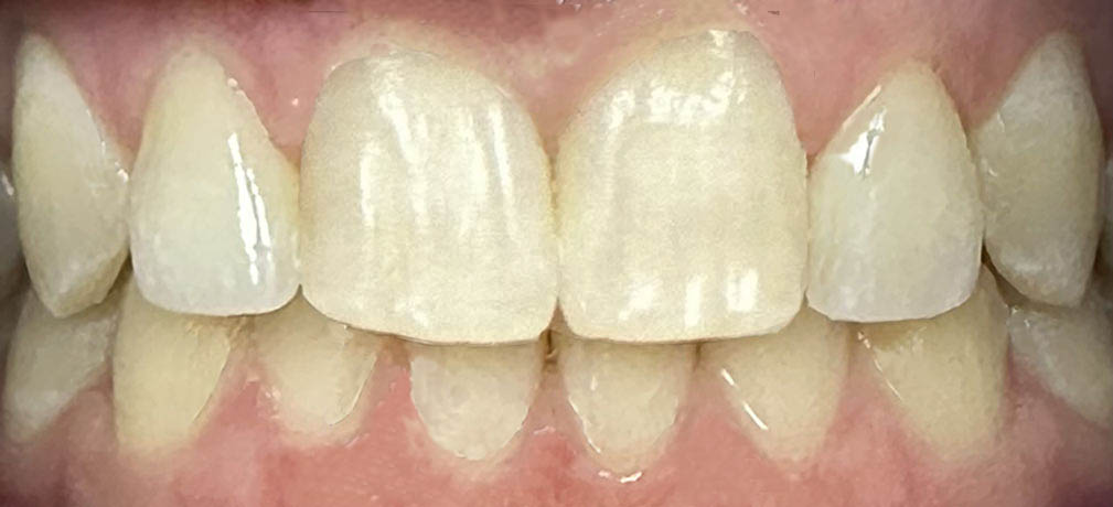
After Dental Crown and Bonding
After
Before Crowns & Veneers
Before
After Dental Crowns Treatment
After
For more information about how we can help you achieve and maintain optimal oral health and a beautiful smile, give us a call at (972) 252-5500 or email us at Info@TruistDental.com. We look forward to hearing from you!
Irving Dentist Office Hallway

Have Questions?